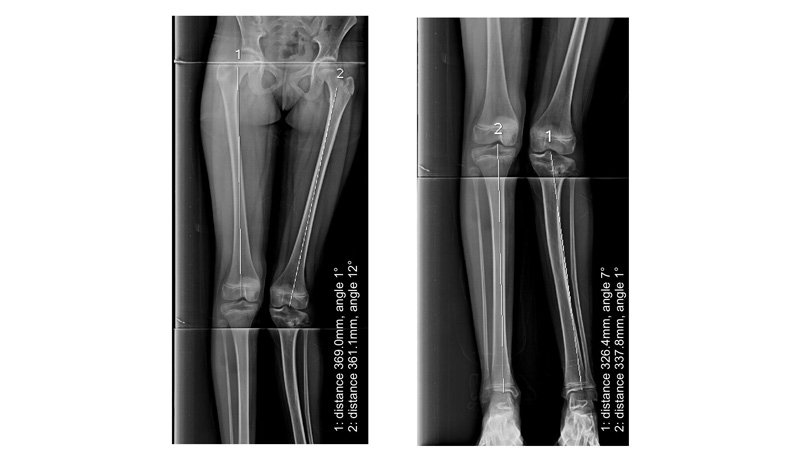
Full Length X-Ray
Indications
1 : For planning of any realignment operation of lower limb, mainly for genu valgus & varus deformity due to osteoarthritis / post # healing.
2 : To measure limb length discrepancy - congenital/acquired.
3 : For evaluation of kyphoscoliosis spinal dysraphism or identification of curve apex, end vertebra, neutral vertebra, stable vertebra, major V/S minor curves, structural V/S non-structural curves.
2 : To measure limb length discrepancy - congenital/acquired.
3 : For evaluation of kyphoscoliosis spinal dysraphism or identification of curve apex, end vertebra, neutral vertebra, stable vertebra, major V/S minor curves, structural V/S non-structural curves.